
عملکرد بهتر هوش مصنوعی تخصصی Med-Gemini در زمینه پزشکی نسبت به GPT-4
محققان گوگل: هوش مصنوعی تخصصی Med-Gemini در زمینه پزشکی بهتر از GPT-4 عمل میکند. به گزارش رسانه مدیاتی، در چند

محققان گوگل: هوش مصنوعی تخصصی Med-Gemini در زمینه پزشکی بهتر از GPT-4 عمل میکند. به گزارش رسانه مدیاتی، در چند

7 روش از بین بردن بوی بد بدن به گزارش رسانه مدیاتی، فصل تابستان در راه است و بسیاری از

هشدار اپل: آیفون در حال شارژ را نزدیک خود قرار ندهید به گزارش رسانه مدیاتی، اکثر کاربران پیش از خوابیدن

سازمان بهداشت جهانی: خطر انتقال آنفلوانزای پرندگان به انسان بسیار نگرانکننده است. به گزارش رسانه مدیاتی، سازمان جهانی بهداشت (WHO)

پرندگان هنگام پرواز بر فراز اقیانوس کجا استراحت میکنند؟ به گزارش رسانه مدیاتی، برخی از اعضای دنیای پرندگان میتوانند بدون

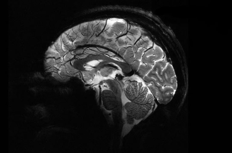
قدرتمندترین دستگاه MRI جهان اولین اسکن مغزی خیرهکننده را ثبت کرد. به گزارش رسانه مدیاتی، قدرتمندترین دستگاه MRI جهان با